
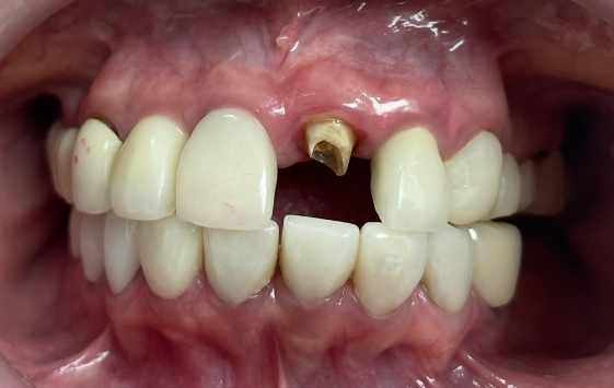
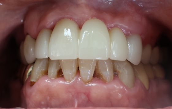
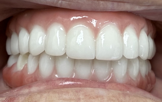
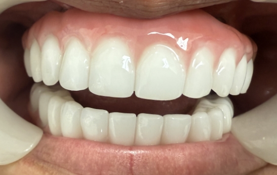
When dentistry is done right, it can deliver truly life-changing results. Dr. Bianca Sanchez has dedicated herself to only using the latest proven technology, highest-quality materials, and the most effective methods at her San Antonio dental office. It takes a lot of work and diligence on her part, but as you’ll see in her before and after photos below, it’s all worth it in the end!
About Us Meet Dr. Sanchez Meet the Team Dental Technology View Our Services